This rare birth defect is also known as PAS, in medical terminology. Pyriform aperture stenosis is a condition in which the anterior side of the nose is constricted. The bone in the upper jaw has abnormal growth. Abnormalities of the pituitary gland and single incisor tooth are associated with pyriform aperture stenosis sometimes.
The nasal airway obstruction is often confused with choanal atresia. But the management approach of both conditions varies. In 1989, the first case of pyriform aperture stenosis was presented by clinical researchers. Respiratory distress is common in newborns who suffer from this condition.
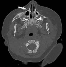
The normal nasal airway has a bony inlet which is the smallest part known as pyriform aperture. Nasal airway resistance is increased, even if there are any minute changes in that area. Moreover, the anterior bony nasal apertures are narrow, which makes breathing difficult.
Pyriform Aperture Stenosis Symptoms
Children suffering from pyriform aperture stenosis will present with a variety of symptoms. Even if the condition is acute, children will be noisy. But in this case, children can maintain their breath. The intake of food is also manageable if the pyriform aperture stenosis is not serious.
Significant distress is commonly seen in children with severe pyriform aperture stenosis. Intubation and airway support is required occasionally or permanently. Some of the common symptoms of pyriform aperture stenosis are as follows:
- Difficulties in feeding food
- Breathing problems which lead to too noisy breathing
- Cyclic respiratory distress is often relieved with crying
- Nasal drainage
- Suction cannot be passed easily as well as the anterior nasal passage
- Nausea when you are empty stomach
- Feeling uneasy and discomfort all the time
- Vomiting if the baby is fed
- In some cases, chronic asthma can be a symptom of the blockage airway passage
Pyriform Aperture Stenosis Causes
There is no clear picture of the exact cause of pyriform aperture stenosis. But it is believed and observed that excessive growth of the maxilla during the development of nasal passages leads to pyriform aperture stenosis. Initially, this deformity was considered isolated. As there was no specific evidence to prove the causes of the pyriform aperture stenosis.
Few studies show that this condition can be a result of twin pregnancies as well. The case reports of pyriform aperture stenosis are sporadic and the pathology is not clear enough. Endocrine abnormalities can also lead to these kinds of issues. The deficit in the growth hormone is one of the reasons.
Hypothyroidism and occasional episodes of hypoglycemia are also considered the risk factors of pyriform aperture stenosis. During fetal development, in the third week, the nasal processes start developing. If there is an underlying abnormality, the baby will be born with the abnormality.
Pyriform Aperture Stenosis Genetics
The clinical data of the pyriform aperture stenosis is limited. Mostly, pyriform aperture stenosis is considered the acute type of holoprosencephaly. The patients of pyriform aperture stenosis usually have a family history of the following conditions.
- Holoprosencephaly
- Cleft palate
- Ocular coloboma
- Pituitary deficiencies.
This defect can occur in isolation or in combination with other defects. It varies from patient to patient. Pituitary dysfunction is not visible in early childhood. They take some time to appear and they are not severe. Pyriform aperture stenosis can run in genetics. Patients must be asked about their detailed family history during the diagnosis of the condition.
Pyriform Aperture Stenosis Treatment
The severity of the anomaly is an important consideration while treating patients with pyriform aperture stenosis. It also depends on how many episodes of breathing difficulties the child is facing or if there are any underlying health concerns that need to be addressed before treating the condition.
Mild cases of pyriform aperture stenosis do not present with respiratory issues. So these patients are kept under strict observation. Supplemental oxygen is recommended occasionally. Nasal saline is recommended by the doctor to open the nasal airways. With the growth of airway passages, the patients start feeling better.
Surgery is the first resort in the case of severe cases of pyriform aperture stenosis. The patient must be in stable condition. Series of tests are performed to rule out other medical conditions. The nasal airway is sufficiently opened during the surgery. The Sublabial approach is a commonly used procedure for pyriform aperture stenosis. The feeding problems and respiratory issues are resolved after the surgery.
Health & Care Information
