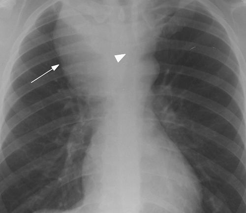
The paratracheal mass is located closer to the trachea which connects the throat to the lungs and is considered as a windpipe. These masses can develop on either the right or left side of the trachea and their size and composition can change significantly from case to case. Some of these masses are benign while others are cancerous.
Left & Right Paratracheal Mass
The development of aberrant cells or tissues close to the trachea results in the formation of a paratracheal mass. These lumps are benign or malignant. The lymph nodes, the thyroid, or some other nearby soft tissues are the source of these masses. Paratracheal masses pressure adjacent structures, causing symptoms and problems.
Left paratracheal mass Causes:
- Lymphadenopathy: Left-sided tracheal lymph nodes can induce paratracheal masses.
- Infection: Left paratracheal mass development is linked to illnesses like tuberculosis and fungal infections.
- Inflammatory conditions: Sarcoidosis and rheumatoid arthritis can cause left paratracheal masses.
Right paratracheal mass Causes:
- Paratracheal masses can result from right-sided lymphadenopathy.
- Thyroid disorders can also cause a right paratracheal mass.
- Right paratracheal masses are often the consequence of primary or metastatic malignancies in the region.
Symptoms of Paratracheal Mass
Paratracheal masses can cause a wide range of symptoms in patients, depending on their size, location, and type. Typical signs might include:
- Persistent coughing.
- Breathing difficulties or wheezing.
- Changes in voice or hoarseness.
- Chest discomfort or chest pain.
- Swelling in the face or the neck.
- Unexpected weight reduction.
- Weakness or fatigue.
Paratracheal Mass Causes
There are a variety of possible causes for paratracheal masses, some of which include:
Inflammatory Disorders
Paratracheal masses can occur due to inflammation from tuberculosis or sarcoidosis.
Infections
Paratracheal masses can also arise from fungal or bacterial diseases.
Benign Tumors
Paratracheal masses are also caused by non-cancerous growths like adenomas or hamartomas.
Malignant Tumors
Malignant tumors, such as lung cancer or lymphoma, are one possible source of paratracheal masses in some patients.
Paratracheal Mass Diagnosis
Paratracheal masses can only be diagnosed after a comprehensive medical examination. Diagnostic techniques mostly include the following:
Imaging Tests
The detailed view of the paratracheal region is observed through different imaging tests like, MRIs, X-rays, and CT scans.
Biopsy
Biopsies can assist in identifying a malignant or benign tumor.
Pulmonary Function Tests
Airflow and lung capacity are measured during pulmonary function testing to determine how the paratracheal mass affects respiratory function.
Paratracheal Mass Treatment
Depending on several factors, including the kind of mass present, its size, and if any underlying illnesses are present or not, there are numerous techniques to treat paratracheal masses. Possible methods of treatment include:
Monitoring
The doctor often prescribes regular monitoring without immediate action if the paratracheal mass is tiny, benign, and does not produce symptoms.
Medications
Antibiotics or anti-inflammatory treatments are mostly recommended for a paratracheal mass caused by infection or inflammation.
Surgical Removal
Surgical excision is required for larger or malignant paratracheal masses. Mass location and size determine the surgical procedure.
Radiation Therapy
Radiation therapy can reduce or eradicate malignant paratracheal masses.
Health & Care Information 