What is LAD Stenosis?
The cardiovascular system is a highly specialized and intricate web of blood vessels that includes the heart, veins, arteries, and capillaries. Although this system is extremely effective, several factors may prevent it from operating to its full capacity. One of these conditions is termed stenosis. Stenosis is an unnatural narrowing or constriction of the body. Atherosclerosis, often known as “hardening of the arteries,” can develop as a result of fatty plaque deposits accumulating inside the LAD artery.
In certain cases, plaque builds to the point that the LAD artery becomes completely blocked. Oxygenated blood cannot reach the heart, resulting in a widowmaker heart attack, which is very deadly.
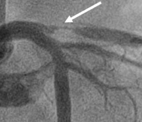
The left anterior descending and circumflex arteries are the left main coronary artery branches. The left anterior descending artery is found within the epicardium, which is the outermost protective layer of the heart. It travels along the septum from the base of the heart to its apex in a groove.
The term “LAD stenosis,” short for “left anterior descending artery stenosis,” describes a condition in which the left anterior descending coronary artery is obstructed or narrowed. This artery’s stenosis increases the risk of cardiovascular issues such as angina (chest discomfort), heart attacks, and other cardiovascular issues by reducing blood flow to the heart. Coronary artery disease, also known as coronary stenosis, is a common condition that happens when the arteries that carry blood to the heart become constricted or obstructed by plaque formation. LAD stenosis is one of the most frequent forms of coronary artery disease.
Symptoms
There is a correlation between severe LAD stenosis and a reduction in the diastolic velocity and flow of blood and an increase in the systolic velocity of the blood. In severe LAD stenosis, the ratios of diastolic/systolic velocity and blood flow are lowered. In severe cases of LAD stenosis, the pressure half-time is also lengthened.
The symptoms of LAD stenosis (narrowing of the left anterior descending artery) can include
- Chest pain or Angina.
- Breathlessness.
- Dizziness or Light-headedness
- Nausea.
- Fatigue.
Causes
The common causes include:
- Atherosclerosis.
- Heart and blood vessel injuries.
- Sometimes, coronary artery congenital (birth) defects.
- Smoking, hypertension, high cholesterol levels, diabetes, and a predisposition to cardiovascular disease all increase the likelihood of developing LAD stenosis.
Significant obstructions of the LAD artery can be harmful because the LAD serves such a huge territory. The severity of a STEMI heart attack affecting the LAD is often higher than that of other types of heart attacks. Significant issues usually arise when the LAD artery is blocked by greater than 70%.
Treatment
Treatment options for left anterior descending artery stenosis (also known as LAD stenosis) are contingent on the severity of the stenosis as well as the presence or absence of symptoms. The following are typical treatments:
- Changes to one’s lifestyle, such as adopting a nutritious diet, engaging in regular physical activity, and quitting smoking, are essential for achieving optimal health.
- Medications, including blood pressure medication, statins, and anti-inflammatory medications, can help alleviate symptoms and prevent additional issues.
- Coronary angioplasty is the use of a tiny balloon catheter to open a blocked or constricted artery.
- Coronary artery bypass graft (CABG).
- The choice of therapy is determined by the particular patient, the degree of stenosis, and the existence of additional medical disorders. For a precise diagnosis and suitable treatment strategy, it is crucial to consult with a cardiologist.
Health & Care Information 