The stomach is the crucial organ of the flesh that’s chargeable for performing three core roles:
- The storage of food
- Breaking of swallowed food into granules with the assistance of acids
- Transportation of mixture into the tiny intestine
The protein digestion depends upon the function of the stomach. Unfortunately, several stomach disorders cause improper digestion of food, some of which are Focal gastric hyperplasia, Hyperplasia of the antrum, Lymphofollicular hyperplasia, and Foveolar Hyperplasia.
Therefore, if you’ve indulged in stomach hyperplasia or have a doubt of getting it, then you’re suggested to travel through this text. We’ve compiled all the relevant information regarding Foveolar Hyperplasia symptoms, causes, and treatment.
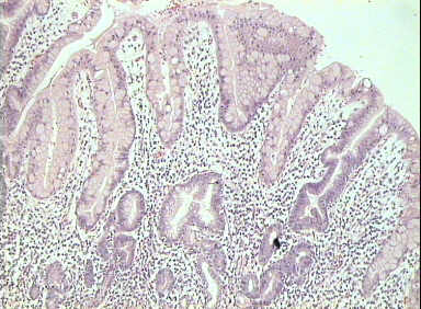
What is Foveolar Hyperplasia?
Foveolar hyperplasia is one of the stomach disorders. It occurs when there’s an expansion of unwanted foveolar cells inside the stomach tissues or tissue layer. These foveolar cells have a vital function to perform. They generate the mucus inside the stomach that’s accountable for shielding the tummy from the gastric acids. But, if this mucus persists within the stomach despite its limitation, then it’ll convert into hyperplasia. If these rapid and abnormal growth of cells don’t seem to be controlled, it can cause severe stomach effects, like a bigger stomach, more protein losses, poor digestion, and stomach cancer. Thus, it’s essential to treat this disorder initially with the correct recommendations from specialists.
Foveolar Hyperplasia Symptoms
Unluckily, there are not any initial symptoms of Foveolar Hyperplasia. It’s a dangerous sign of this disease because abnormal cell growth keeps increasing inside the stomach tissues, and once they reach their maximum point, the subsequent symptoms can occur.
- Intense pain within the upper middle region of the stomach because of the contraction of muscles takes place.
- Poor digestion, stretching, and increment of the stomach takes place during Foveolar Hyperplasia.
- Constant vomiting, nausea, and diarrhea are indications of Foveolar Hyperplasia.
- Tiredness and weakness can result in Foveolar Hyperplasia.
- The deficiency of red blood cells within the human body is an indication of Foveolar Hyperplasia.
- People experience severe gastric pain within the mid epigastric area.
These were the general symptoms for Foveolar Hyperplasia, which we’ve highlighted above. Therefore, one should take proper care of himself. He should take a healthy diet, change the way of living, and continue checking himself constantly. To stay active and healthy, one should exercise day after day so that his immune system remains strong, and he must get relief from such severe disorders.
Foveolar Hyperplasia Causes
Every disorder has several core causes depending upon its type and effects. The causes of Foveolar Hyperplasia are listed below.
- Regulation of abnormal nerves inside the stomach and rising of Foveolar cells is the core reason for Foveolar Hyperplasia.
- If someone is facing hormonal disorders within the body, then Foveolar Hyperplasia can occur.
- If stretching of stomach muscles and gastritis isn’t being taken seriously, it can cause Foveolar Hyperplasia.
- The action of several carcinogens also gives rise to unwanted cells, thus, leading to Foveolar Hyperplasia.
- The existence of Helicobacter pylori inside the body can also cause Foveolar Hyperplasia.
These were the general symptoms for Foveolar Hyperplasia, which we’ve highlighted above. Therefore, one should take proper care of himself. He should take a healthy diet, change the way of living, and continue checking himself constantly. To stay active and healthy, one should exercise day after day so that his immune system remains strong, and he must get relief from such severe disorders.
Foveolar hyperplasia Treatment
The existence of Foveolar Hyperplasia may cause severe effects if not treated properly. It’s a disorder that may damage your stomach badly and should have a severe impact on your health. Also, if this disorder is taken with no consideration, then later, it’ll convert into Ménétrier’s disease. This disease is answerable for causing stomach cancer. So, all you would like is to require a correct examination of yourself. If you’re having constant stomach pain, weakness, nausea, vomiting, tiredness and weakness, gastric issues, poor digestion, and stretching within the stomach, then you wish to consult a specialist instantly. These are the primary indications that you’re affected with Floveral Hyperplasia.
First, specialists conduct the medical diagnosis to ensure the right conduct before the treatment of Foveolar Hyperplasia. The treatment for Floveral Hyperplasia relies mainly on its vital causes. Specialists will diagnose the cause for Floveral Hyperplasia then they’ll give recommendations. Usually, medicines and a high protein diet is preferred for its cure. But, if the disorder is at its last, then surgery or removal of the stomach is the only option. Therefore, to air the safe side, have an honest intake of diet, try and visit the specialist right after every six months so you’ll treat such a severe disease instantly.
Health & Care Information 