Vertebrae are the bones that make up the spinal column. They contribute to the spinal cord’s protection. When the arches of the first cervical vertebra are broken, the resulting injury is known as a Jefferson fracture. The first cervical vertebra is the one at the very top of the spine and closest to the skull.
Vertebral compression fracture, also known as a Jefferson fracture, occurs at the C1 level. The larger lateral mass of the vertebra C1 is directed laterally. Because of the impact, C1’s lateral masses are pushed apart.
Due to the bone ring’s ability to enlarge, Jefferson fractures don’t always result in spinal cord damage. A ruptured transverse ligament increases the likelihood of a spinal cord injury.
A Jefferson fracture is mostly identified by pain in the upper neck region. Movement, speech, and brain function are not often affected unless spinal cord nerves are damaged.
Damage to the neck’s arteries does occur occasionally. Blood vessel injuries in the upper neck often result in neurological complications like ataxia. As a result of ataxia, affected individuals experience a loss of coordinated muscle movement and gait stability. A bruise and localized swelling around the site of the injury is common.
This fracture is very common in divers. Participation in contact sports increases the risk even further. Car accidents are another typical reason for this fracture. If the driver or a passenger hits the roof of the vehicle, they run the risk of breaking the C1 vertebra or one of the other upper vertebrae.
Fractures of the C1 vertebra and other vertebral bones are more common in people with osteoporosis. Most Jefferson fractures are treated conservatively (with a hard collar) if the transverse atlantal ligament is thought to be in good shape.
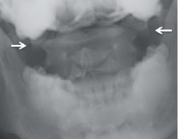
A fracture’s size and location are mostly determined with the aid of an X-ray. A CT scan is also recommended by the doctor to check for vertebral misalignment.
A computed tomography (CT) scan is a specialized X-ray that uses computer technology to produce slices through the target area. These incredibly precise images often show soft tissue injuries like ligament damage.
Type 1, Type 2, & Type 3
A burst fracture of the atlas is referred to as a Jefferson fracture, which is the eponymous name for this type of fracture. In the beginning, it was thought to be a four-part fracture with double fractures going through both the anterior and posterior arches.
There are several types of Atlas fractures. They differ from one another because the location of the fracture differs. The three of them are as follows:
Type I: Fracture of the anterior arch.
Type II: Fracture of the posterior arch.
Type III: Double fracture of the anterior and posterior arches.
The severity of an atlas fracture is related to the speed of the impacting axial force. When treating minor fractures, medical professionals frequently use a Philadelphia cervical collar, a halo brace, or a Minerva cast to immobilize the patient’s head and neck so that they heal properly. During the healing process, it is recommended to avoid lifting anything heavy. After three to four months of these conservative treatments, most patients report the full recovery of their range of motion and no lasting pain.
Surgery is the most typical form of care for people with this type of atlas fracture. Oftentimes, a C1 break is very unstable. To prevent further degeneration of the spine, surgical intervention is frequently required. Surgical decompression is a possible treatment option. It involves taking out small pieces of bone from the vertebrae to make sure that nothing gets in the way of the C1 healing or presses on the nerves.
Health & Care Information 