Learn all about Anisokaryosis definition, cancer, symptoms, causes and treatment
It is important to point out that most everyone has risk factors for cancer and is exposed to cancer-causing substances (for example, sunlight, secondary cigarette smoke, and X-rays) during their lifetime, but many individuals do not develop cancer. In addition, many people have the genes that are linked to cancer but do not develop it. Genetic factors can contribute to the development of cancer.
A person’s genetic code tells their cells when to divide and expire. Changes in the genes can lead to faulty instructions, and cancer can result. Genes also influence the cells’ production of proteins, and proteins carry many of the instructions for cellular growth and division.
Some genes change proteins that would usually repair damaged cells. This can lead to cancer. If a parent has these genes, they may pass on the altered instructions to their offspring. Some genetic changes occur after birth, and factors such as smoking and sun exposure can increase the risk. Other changes that can result in cancer take place in the chemical signals that determine how the body deploys, or “expresses” specific genes.
Finally, a person can inherit a predisposition for a type of cancer. A doctor may refer to this as having a hereditary cancer syndrome. Inherited genetic mutations significantly contribute to the development of 5–10 percent of cancer cases. Nuclear changes can be studied using microscopically stains like Haematoxylin and Eosin, Feulgen stain, Papanicolaou stain, Giemsa, or Romanowski stains. Nuclear morphometry is helpful to characterize the size and shape of organelles and structures, such as nuclei, nucleoli, nuclear membranes, and chromatin granules and has been used for grading various carcinomas and also to differentiate metastatic from non-metastatic tumors.
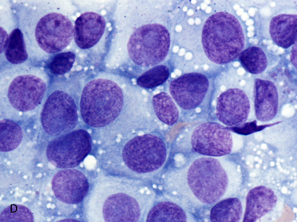
What is Anisokaryosis?
The nucleus is the center of the cell that contains the cell’s DNA. The size and shape of the nucleus of a cancer cell is often abnormal. Typically, the nucleus of a cancer cell is larger and darker than that of a normal cell and its size can vary greatly. Another feature of the nucleus of a cancer cell is that after being stained with certain dyes, it looks darker when seen under a microscope. The nucleus from a cancer cell is larger and darker because it often contains too much DNA.
Anisokaryosis Definition
Variation in size of nuclei in excess of the normal range for a tissue is known as anisokaryosis. This is one of the main features of cancer cells: variation of nuclear size and shape from cell to cell.
Anisokaryosis Cancer
The overall size and shape of cancer cells are often abnormal. They may be either smaller or larger than normal cells. Normal cells often have certain shapes that help them do their jobs. Cancer cells usually do not function in a useful way and their shapes are often distorted. Unlike normal cells that tend to have the same size and shape, cancer cells often vary in their sizes and shapes. There are several basic kinds of cancers, which doctors can further classify into hundreds or even thousands of types, based on how they look under a microscope. Cancers are named according to which type of normal cells and tissues they look like most. For example, cancers that look like glandular tissues are called adenocarcinomas. Other cancers that resemble certain immune system cells are called lymphomas, and those that look like bone or fat tissue are osteosarcomas and liposarcomas, respectively.
Anisokaryosis Symptoms
More than 100 cancer types can occur. As a result, cancer causes a variety of symptoms depending upon the type. Some cancers might not cause symptoms until reaching a more advanced stage, which is why early detection methods, such as skin cancer checks and mammograms, are recommended.
Anisokaryosis Causes
The following is a listing of major causes and is not all-inclusive as specific causes are routinely added as research advances:
- Chemical or toxic compound exposures: Benzene, asbestos, nickel, cadmium, vinyl chloride, benzidine, N-nitrosamines, tobacco or cigarette smoke (contains at least 66 known potential carcinogenic chemicals and toxins), asbestos, and aflatoxin
- Ionizing radiation: Uranium, radon, ultraviolet rays from sunlight, radiation from alpha, beta, gamma, and X-ray-emitting sources
- Pathogens: Human papillomavirus (HPV), EBV or Epstein-Barr virus, hepatitis viruses B and C, Kaposi’s sarcoma-associated herpes virus (KSHV), Merkel cell polyomavirus, Schistosoma spp., and Helicobacter pylori; other bacteria are being researched as possible agents.
- Genetics: A number of specific cancers have been linked to human genes and are as follows: breast, ovarian, colorectal, prostate, skin and melanoma; the specific genes and other details are beyond the scope of this general article so the reader is referred to the National Cancer Institute for more details about genetics and cancer.
Anisokaryosis Treatment
Anisokaryosis treatment is done by radiations and chemotherapy. Palliative radiation is designed to slow or stop tumor growth and can also be used to control osteosarcoma pain. Chemotherapy is used as the primary treatment for hematologic cancers and to control metastasis of solid tumors.
Health & Care Information 