On either side of the face, there are paired suprahyoid cervical spaces known as the masticator spaces. Each Masticator space is surrounded by a layer of deep cervical fascia. At the lower boundary of the mandible, the deep cervical fascia’s superficial layer divides into two halves. The outer layer attaches superiorly to the parietal calvaria and protects the masseter and temporalis muscles.
Inflammatory diseases, vascular lesions, and tumors are all examples of masticator space pathology. Benign and malignant intrinsic tumors can develop in this space, and they possess multiple potential origins including the third division of the trigeminal nerve, the mandibular ramus, and the mastication muscles.
Definition:
A deep face area called the masticator space is enclosed by the deep cervical fascia’s superficial layer. It is right in front of the prestyloid space, next to the pharyngeal space, and below the skull base.
The mandibular ramus, which separates the masticator space into medial and lateral compartments, serves as the center of the anatomical and functional structure of the masticator space. A superficial layer of deep cervical fascia separates it from the adjacent face and neck spaces, except superiorly, where it freely interacts with the external temporal fossa, which is often thought to be an upper extension of the masticator space.
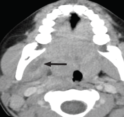
Masticator Space Abscess
Masticator space abscess is the advanced form of a common odontogenic infection characterized by buccal pain, edema, and trismus. The common clinical signs of an adult masticator space abscess are jaw swelling and trismus following dental procedures. Masticator space abscess without dental operation is a rare infection that is typically detected in the infant with poor sucking, fever, irritability, and dehydration.
Mixed aerobic and anaerobic organisms, most often a-hemolytic streptococci, Bacteroides species, and Peptostreptococcus species are the most prevalent types of organisms that cause masticator space abscesses. Infants displaying such clinical signs require a comprehensive medical history and assessment. Ultrasonography (US) and computed tomography (CT) help confirm the diagnosis that is already evident from the patient’s symptoms.
Masticator Space Mass
The Masticator space (MS) is a large, paired anterolateral space of the supra-hyoid neck. It is challenging to evaluate masses in the masticator space clinically; therefore, computed tomography (CT) and magnetic resonance imaging (MR) are crucial tools for the diagnosis and characterization of these lesions. Malignant tumors may look well-defined and surrounded by fascia. Therefore, a biopsy needs to be performed quickly after a mass is discovered.
Masticator Space Infection
An infection in the masticator space is an illness that affects the maxillofacial region deeply. It is usually caused by odontogenic infection, particularly infection in the molar region. Masticatory space infections are more common than tumors and typically have an odontogenic cause (such as tooth extraction, severe caries, and gingivitis). In rare cases, masticator space infections can spread from parotid, submandibular, or tonsillar abscesses. When the muscles become inflamed, they seem larger and enhanced in a non-homogeneous manner.
Masticator Space Boundaries
A unique deep facial region, the masticator space is surrounded by the deep cervical fascia’s superficial layer. It is made up of the ramus and the posterior body of the mandible, in addition to the four muscles that are responsible for mastication, which are the medial and lateral pterygoid muscles, the masseter muscle, and the temporalis muscle.
A superficial layer of deep cervical fascia separates the masticator space from the surrounding face and neck spaces on each side except superiorly, where it freely interacts with the temporal space. The buccal space is located anterior to the masticator space, while the parotid space is located posteriorly, the parapharyngeal space is located medially, and the sublingual and submandibular spaces are located inferiorly.
Health & Care Information 