In medical terms, there can be several anomalies associated with the human body. Those anomalies are categorized; as either diseases or syndromes.
Elsberg syndrome is an inflammation of the nerve roots and the lower spinal cord region. It refers to an assumed infectious syndrome. It is frequently an illustration of reactivation, or sometimes, a primary herpes simplex virus-2 infection. This syndrome consists of acute or subacute lumbosacral bilateral radiculitis. Sometimes, it is present along with confined myelitis compacted up to the spinal cord.
Elsberg Syndrome Symptoms
So, what are the signs associated with the Elsberg syndrome? Since this syndrome causes radiculitis. Therefore, its symptoms are somewhat similar to that. The first symptom of this syndrome is extreme pain in the lower back. This pain extends up to the legs and feet as well. Sometimes, numbness, burning pain in the hips are also clearly felt by the person affected. If it is left untreated, it also causes muscular weakness. Another symptom which the affected individuals may develop includes urinary retention. Urinary retention refers to the condition where the urinary bladder loses its ability to empty the urine all at once when you urinate.
Elsberg Syndrome Causes
What are the causes behind this syndrome and, can you prevent this syndrome from happening? If yes, then how? Let’s discuss that below.
The cause behind the Elsberg syndrome is the compression of a spinal nerve. For this reason, any condition having the capability to compress the spinal nerve causes this syndrome. It may include osteophytes, disc herniations, thickening of the neighboring ligaments.
However, its causes are not only restricted to those mentioned above. These include degeneration of the spine, damaged intervertebral discs, and spinal stenosis. It is also known to be caused by inabilities of the spine such as scoliosis or spondylolisthesis. To conclude, any degeneration of the spine is the cause of this syndrome.
Elsberg Syndrome Diagnosis
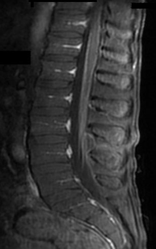
The magnetic resonance imaging technique is accompanied to diagnose this syndrome. The MRI of this syndrome shows lesions of the spinal cord as discontinuous and multiple. The cord lesions are also not necessarily present in the most caudal region of the conus. The nerve root enhancement is usually typical and may be either diffused or confined to the ventral or dorsal roots.
Elsberg Syndrome Treatment
In the case of immunocompromised patients or those with a severely developed syndrome, IV acyclovir medication is provided for a duration of 10 to 14 days. Severe myelitic arrears often consist despite the antiviral treatment methods. However, in some cases, corticosteroids and Vidarabine are also used to treat this syndrome and these have been reported to speed up the improvement in such cases. It is often considered a self-limiting syndrome and has the ability to cause a fatal outcome within a few weeks in immunocompromised patients.
Health & Care Information 