Cleidocranial dysostosis refers to a condition in which the bones of the collar (clavicle) area and the skull develop abnormally. It is a congenital malformation that manifests itself primarily in the teeth and bones. The lack of or underdevelopment of collarbones makes it possible to pull the shoulders together. It leads to abnormalities in the pelvis, cranium, and clavicle. Marie and Sainton coined the term cleidocranial dysplasia to describe the condition in 1898. As a congenital disorder, cleidocranial dysostosis is present at conception and does not go away. The condition affects both boys and girls equally.
Cleidocranial Dysostosis Symptoms
Cleidocranial dysostosis is characterized by a protruding jaw and brow area in the affected individual. Their nasal bridge, or the part of the nose that connects the two sides, is relatively broad. There is a deficiency or abnormal development of the collar bones. The shoulders are forced forward and together as a result. The loss of baby teeth does not occur at the anticipated time.
Cleidocranial dysplasia is an extremely rare genetic disorder that causes significant malformations in the growth of the skull, brain, spine, pelvis, and extremities. CCD is also characterized by several symptoms, the most obvious of which is a malformation of the cranial bones. When fontanelles fail to close completely or do not close at all, this results in the formation of soft spots on the crown of the head.
Other symptoms of Cleidocranial Dysostosis include:
- A large head with large fontanelles that close slowly.
- Wide mandible.
- Teeth that are unnecessary or supernumerary.
- Palate with a high arch.
- Neonatal distress caused by a narrowed and bell-shaped thorax
- Shoulders with excessive mobility and sagging.
Hearing loss and frequent sinus and ear infections are additional symptoms of Cleidocranial dysostosis, in addition to skeletal and dental abnormalities. The growth of motor skills like crawling and walking is slightly delayed in some young kids with this condition, but intelligence remains intact.
Cleidocranial Dysostosis Causes
Cleidocranial dysostosis is an extremely rare condition that affects one in every million births. The majority of affected children are those who receive a mutated gene via autosomal dominant inheritance from one or both parents. This happens when one copy of a gene is passed from a parent to a child during fertilization. If a parent carries the mutated gene, they possess a 50% chance of passing it on to their child if they become pregnant. It is also possible for the genetic mutation to occur independently or at random (de novo), without any precedent in the person’s biological family.
Cleidocranial dysostosis is primarily brought on by a mutated gene. It is a genetic disorder that shows autosomal dominance transmission. This means that a person mostly inherits a disease from just one of their parents if they receive the mutated gene. Problems with the RUNX2 gene, which helps to develop bone and cartilage cells, mostly contribute to this disorder.
Cleidocranial Dysostosis Diagnosis
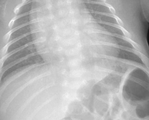
X-rays of the hands, chest, and head are used to diagnose cleidocranial dysostosis in addition to a physical examination. Although it is possible to perform genetic testing to look for mutations in the RUNX2 gene, which is responsible for the condition, this is not typically required to make the initial diagnosis.
Testing for cleidocranial dysostosis includes the following:
- Dental X-rays.
- X-ray examination of the bones, particularly the skull, collarbone, and hands.
- Genetic testing.
The healthcare provider mostly examines the condition’s symptoms and provides a customized treatment plan using imaging tests, such as X-rays.
The diagnosis is verified by genetic testing. The doctor draws a small sample of the child’s blood for the genetic test, and a lab technician looks for any variations in the child’s DNA, proteins, or chromosomes, which are indicators of a genetic disorder. The genetic test also allows for the precise identification of the mutated gene.
Cleidocranial Dysostosis Treatment
It is not specifically treatable, and each person’s symptoms are mostly taken into account when managing it. The majority of people suffering from the disease require:
- Routine dental care.
- Headgear to keep skull bones safe until they close.
- Ear tubes are used to treat recurrent ear infections.
- Surgery to fix any skeletal abnormalities.
The most important side effects of cleidocranial dysostosis are dental issues, such as additional teeth and delayed tooth eruption, so getting the right dental and orthodontic care is essential. Dental issues are brought on by RUNX2 gene mutations, which directly affect the growing teeth.
Infections in the sinuses and middle ear are also common and need aggressive treatment. If the child experiences recurrent infections in the middle ear, tympanostomy tubes are recommended by the doctors. To alleviate pressure and provide ventilation to the middle ear, these tiny tubes are surgically inserted into the ear canal.
Health & Care Information 